What's
Digital Implant?患者様の負担を減らす、
安心・安全の
「デジタルインプラント」とは?
デジタル技術の進歩によって、私たちの日常生活もどんどん便利になってきていますが、歯科医療においても近頃はデジタル技術が発展してきており、治療のスピード、正確性、安全性などが目覚ましく進歩してきています。
「デジタルインプラント」は、3次元のCTの上でインプラントを埋め込むためのシュミレーションを行なって、サージカルガイドと呼ばれる手術用の装置をCAD/CAMで製作し、シュミレーションと全く同じ位置にインプラントを埋め込むシステムです。
この方法により、インプラント治療の正確性や安全性が飛躍的に高まり、
手術の時間も大幅に短縮され、患者様の負担を減らすことが可能になります。
また、骨がしっかりある場合は、歯ぐきを切開する必要がなくなったり、
インプラントを入れたその日に仮の歯を取り付けることも可能になりました。
当院では少しでも楽に快適にインプラント治療を受けていただくために、全てのインプラント治療においてデジタルインプラントシステムを採用しています。
デジタルインプラント
だからできる
安全・安心を
すべての患者様に。
ここ数年、デジタル技術は急速に発展してきていますが、つい最近までインプラントは術者の経験と勘によって位置や方向が決められて、フリーハンドで手術が行われることが多くありました。もしかしたら未だにサージカルガイドを使わずにフリーハンドでインプラントをされている歯科医師もおられるかもしれません。
フリーハンドで1本のまっすぐな線を引くというのは意外と難しいものです。ただし定規があればそれは非常に簡単な作業で、誰が引いても同じまっすぐな綺麗な直線が引けます。
デジタルインプラントで使用するサージカルガイドはこの定規と同じ役割を果たします。
サージカルガイドを使って、決められた順番通りにドリルを使用すれば、経験年数に関係なく誰でも正確な位置にインプラントを入れることができます。
予定通りに位置にインプラントを入れることができるという技術は、手術の安全性、正確性を飛躍的に高めてくれます。
デジタル技術が発達している今の時代だからこそできる安心のインプラント治療を当院ではすべて患者様に提供しております。
医療法人スマイルプラン
理事長 山本恒一
Implant treatment
of Smile Plan.スマイルプランの
インプラント治療
最新設備を用いた、
安心の治療を提供
スマイルプランのインプラント治療は最新のデジタル歯科医療技術を使い、
全ての患者様にいつまでも自分の歯で、
美味しく食事をして頂くための最良の治療法です。
デジタル歯科医療による正確で安全なインプラント治療は、
患者様に様々なメリットをもたらします。
Do you know
about Implant?ご自身の歯と遜色なく、機能性・審美性にも優れた治療
「インプラント」についてご存知ですか?
- ①上部構造
- 人工の歯の部分。アパットメントの上にネジや接着剤で留められます。材質は金属やレジン(樹脂)、セラミック、ジルコニアなどで出来ています。基本的には取り外しが可能で、問題があれば外して作り替えたりすることもできます。
- ②アパットメント
- 歯根部分と歯の部分を連結するパーツで、チタン製のものやセラミック製のものがあります。人工の歯の部分の土台として、噛む力をしっかりと受け止めています。


- ③フィクスチャー
- ネジのような形をしていて、チタンで出来ています。チタンは顎の骨としっかり結合するので、ひとたび結合したインプラントは本物の歯根のようにしっかりと顎の骨に根付き、噛む力を長期にわたり受け止めることができます。よほど無理な力が加わらない限り、折れない丈夫さを持っています。インプラントには様々なサイズがあり、埋め込む場所や患者さんの顎の骨量などに合わせて適切なサイズが選択されます。近年では、より結合しやすい表面加工が施されるなど、品質の向上が進んでいます。
- ④顎の骨
- 埋め込まれたインプラントとしっかり結合して噛む力を受け止める、インプラント治療の立役者です。インプラント治療では、インプラントを埋め込むための顎の骨の量が治療の鍵を握るので、骨の量が足りない場合には、骨移植や再生療法など骨を増やすための治療が必要となることもあります。
Three
maior treatment
when you lose your tooth. 歯を失ってしまった際の3つの治療法を
ご存知ですか?
-
ブリッジ
一つ目は取り外しの必要のないブリッジです。ブリッジは抜いた歯の両隣りの歯を削り、そこへ3本つながったかぶせ物を入れることで、抜いた部分にも歯があるかのように見せる治療法です。ブリッジを支える両隣りの歯がしっかりしていれば長持ちしますが、たくさん歯を削る必要があるので、場合によっては神経を取る必要があったり、エナメル質を失うことにより虫歯のリスクが高まるなど、別な歯を悪くしてしまう原因にもなる場合もあります。
失った歯の部分の咬む力の負担については両隣りの歯が支えることになるため、ブリッジを支える両隣りの歯に問題が生じやすくなります。
-
入れ歯
二つ目は昔から良く使われてきた入れ歯です。残っている歯に金属の留め金をかけて入れ歯を固定し、歯と歯ぐきで噛む力を支えます。実際のところは噛む力がかかると歯ぐきは変形し、入れ歯が沈み込むため、噛む力のほとんどは残っている周りの歯が支えることになります。
ブリッジの場合と同じように、残っている周りの歯に大きな負担がかかることから、また別な歯を失うリスクへとつながります。
入れ歯には違和感が大きい、しっかり噛めない、見た目が悪いなどの欠点もありますが、短期間で製作できる、1本の欠損から総入れ歯まですべてのケースに対応可能などのメリットがあります。
-
インプラント
そして三つ目がインプラントです。失った歯の部分の骨の中にチタン製の人工歯根を埋め込み、その上に人工歯をネジで固定する治療法です。噛む力をしっかりと骨が支えるため、まわりの歯に負担をかけることがなく、天然歯を残していくために最も優れた治療法と言えます。ブリッジや入れ歯の場合に挙げた問題点(残りの歯に大きな負担がかかること)を解決できるのは唯一インプラント治療だけということになります。
また治療の寿命についてもこれら3つ方法の中で一番長い治療法で、ほとんどのケースで20年近く機能することになります。インプラントを埋め込むために簡単な手術が必要なこと、健康保険の適応外なので治療費が高額になること,他の2つに比べると治療期間が長くなることなどが欠点です。
Comparison of
Three Treatments 3つの治療の比較表
| ブリッジ | 入れ歯 | インプラント | |
|---|---|---|---|
治療の寿命 |
7~8年 | 5~6年 | 15年以上 |
周りの歯への |
エナメル質をかなり削る必要があり、場合によっては神経も取らなければならない。 |
入れ歯の留め金を掛ける部分を少し削る。 |
隣りの歯を削ることはない。 |
噛む力 |
天然歯の約60%の咬合力 ただし噛む力を支えるのは歯がない部分の両隣りの残存歯であり、次はこの歯に問題が生じやすい。 |
天然歯の約30%の咬合力 ただし噛む力を支えるのは歯がない部分の周囲の残存歯であり、残っている歯に問題が生じやすい。 |
天然歯の約90%の咬合力 噛む力を支えるのはインプラント本体であるため、残っている周りの歯に負担をかけることがない。 |
審美性 |
自費治療の場合はセラミックブリッジにすることで天然歯のような審美性にすることができる。 |
入れ歯を残存歯に固定するための金属の留め金が必要なため、見た目は良くない。 |
基本的に人工歯の部分はセラミックの歯が入るため、見た目は天然歯とほぼ同じ。 |
費用 |
132,000円~ ジルコニアクラウン1本あたりの費用。本数によって費用は変わる。 |
220,000円~ 保険適応外の入れ歯。 |
352,000円~ インプラントのコースによって費用は変わる。 |
治療期間 |
1~2ヶ月 | 1ヶ月 | 5~9ヶ月 |
Our Polcy安心・安全を目指してインプラント
インプラント6つの取り組み
-
- 最新のデジタルテクノロジーによる
安全性
と精密なインプラント治療 - スマイルプラン歯科クリニックでは、国内有数の最新のデジタル機器を導入し、患者様に安心のインプラント治療を提供しております。デジタル技術を駆使することで、治療時 間を短縮し、とても精度の高い治療をすべての患者様にお届けしています。
- 最新のデジタルテクノロジーによる
-
- カウンセリングを大切に
- 私たちが目指す医療は常に患者様を中心とした医療です。それぞれの治療の特徴をしっかりと説明し、ご理解、ご納得頂いてから治療に入っていきます。
一人一人の患者様に最適な治療を選択して、末長く歯の健康をサポートしていくために、私たちはカウンセリングをとても大切にしています。
-
- サージカルガイド
使用率100% - かつては埋入するインプラントのポジションは術者の経験と勘によって決められていました。現在ではすべての患者様にサージカルガイドを製作して、手術前にシュミレーションをした位置にぴったりと埋入することが可能です。スマイルプラン歯科クリニックでは、すべてのインプラント治療にサージカルガイドを用いて治療の安全性、正確性を高めています。
- サージカルガイド
-
- 安心の保証制度
- スマイルプラン歯科クリニックでは、インプラント治療には10年間の治療保証制度を設けております。万が一保証期間内に治療をしたインプラント部位に問題が生じた場合は、無償(一部有償)にて責任を持って対応いたします。安心してインプラント治療を受けて頂くことができます。
-
- インプラント専用の
メンテナンスシステム - インプラント治療は一般的にとても長い期間お口の中で機能を果たしてくれますが、天然の歯と同じように歯周病にもかかります。健康な状態でいつまでもインプラントで美味しく食事をしていただくために、インプラント専用のメンテナンスプログラムを行い、歯科衛生士が患者様のインプラントの健康をしっかりとサポートしていきます。
- インプラント専用の
-
- デジタル+Art
- デジタル技術が発展してきている現在でも人工歯の製作の仕上げは歯科技工士による手作業で行われます。歯科技工士の仕事は熟練の技術と最新のテクノロジーを組み合わせた職人の技です。スマイルプラン歯科クリニックに併設した歯科技工所Co.lab(コラボ)では、一人一人の患者様のために、天然の歯と見分けがつかないほどの美しい人工歯をカスタムメイドで製作しています。
Flow of Implant
Treatmentインプラント
治療の流れ
-
- STEP1 術前診査
- デジタルインプラントでは実際の手術前のシュミレーションがとても重要になってきます。術前にできるだけ多くの資料を取らせていただいて、正確な診断を行います。
問診、歯の型取り、レントゲン写真、CT撮影、歯の写真、お顔の写真など多くの資料を取らせて 頂きます。
-
- STEP2 治療計画・
手術シュミレーション - 取らせて頂いた資料をもとに、治療の計画を立てます。インプラント治療が必要な部分だけではなく、歯周病や全体の噛み合わせまでを考えた治療計画を立案します。
インプラント治療の部分に関しては、骨の量や周りの歯の状態に合わせて治療の方法が変わってくるため、CTデータをもとに手術のシュミレーションを行い、最適なインプラントの手術法を決定します。
- STEP2 治療計画・
-
- STEP3 コンサルテーション
- 患者様に安心して治療を受けていただくために、治療に入る前に十分に治療の説明を行います。
分からないことや不安なことなどございましたら、なんでもお気軽にご相談ください。
-
- STEP4 サージカルガイドの作成
- CT上で行なったシュミレーションのデータをデジタルデンタルラボ『Co.Lab』(歯科技工所)に送り、そこで最新のデジタル技術を用いて手術用のサージカルガイドを製作します。
※歯の欠損の状態や手術の方法に合わせて数種類のサージカルガイドを使い分けます。サージカルガイドの種類によって製作期間、費用が異なります
-
- STEP5 インプラント手術
- 『Co.Lab』にて製作されたサージカルガイドを用いて、インプラント手術を行います。
事前にシュミレーションができているため、手術は正確で安全に短時間で終了します。十分な骨の量があれば手術をした日に仮の歯を取り付けることも可能です。
-
- STEP6 人工歯の装着
- インプラント手術から、3ヶ月~6ヶ月の治癒期間をおいて、インプラントの上に人工の歯を製作するための光学スキャンを行い、人工歯を製作し装着して治療が完了となります。 治療後は3ヶ月に一度のペースでメインテナンスを受けていただきます。
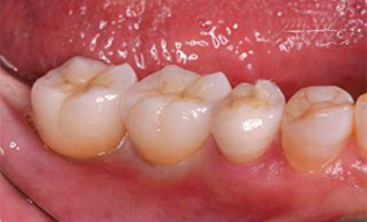
Implant Case難しいインプラント症例もお任せください
-
- Case 01
前歯を綺麗にしたい - 見た目が気になる前歯でも、隣りの天然歯と良く馴染んだ美しい歯へと治療可能です。
- Case 01
-
- Case 02
歯茎を切開しない - 歯茎を切開しないので、術後の痛みや腫れが格段に少なくなり、回復が早くなります。
- Case 02
-
- Case 03
骨量が足りない - 骨の量が不足していたので、高度な技術を必要とするサイナスリフトを行いました。
- Case 03
キレイに美しく、かつ機能的に

前歯の審美インプラントや骨がない方や歯茎を切らないインプラントなど、高度な技術が求められる治療を当院は得意としております。
インプラント治療の部分に関しては、骨の量や周りの歯の状態に合わせて治療の方法が変わってくるため、CTデータをもとに手術のシュミレーションを行い、最適なインプラントの手術法をご提供いたします。

Dental Treatments
Prices デジタルインプラントを明確な料金でご提供致します。

-
精密デジタルインプラント1本あたり
〜約35万円(税込)
CT撮影、サージカルガイド作成、インプラント埋入手術、アバットメント、セラミック人工歯の費用が含まれます。 術後の消毒、抜糸の際には1回につき500円かかります。
Doctor Information医療法人 スマイルプラン
ドクターのご紹介
私たちスマイルプラン歯科グループのコンセプトは「すべてにおいて上質な歯科医院であること。」です。質の高いおもてなしと医療サービス、最高レベルの治療技術を患者様に提供できる歯科医院であるために日々研鑽しています。失われた歯の機能を取り戻すインプラント治療と、美しい天然歯の輝きを取り戻す審美歯科治療で、患者様に「健康と美」を提供できるクリニックでありたいと思っております。
-

医療法人 スマイルプラン
理事長山本 恒一
-
経歴
1999年 大阪大学歯学部卒業 2004年 やまもと歯科クリニック開院 2007年 Clinica Malo(ポルトガル)にてAll-on-4(オールオンフォー)インプラント研修 2008年 スマイルプランやまもと歯科クリニック リニューアルオープン
アメリカ ニューヨーク大学インプラント科CDEコース入学2009年 ブカレスト大学(ルーマニア)にてサイナスリフト研修 2010年 アメリカ ニューヨーク大学インプラント科CDEコース卒業 2012年 スマイルプランさくら歯科クリニック開院 2016年 スマイルプランオーク歯科クリニック開院 2020年 スマイルプラン歯科クリニック西宮開院 2022年 ホワイトベア歯科クリニックなんば 開院 2022年 スマイルプラン歯科クリニックOSAKA 開院 2025年 NOKA CLINIC(美容皮膚科) 開院 所属
- International Congress of Oral Inplantologists
- ICOI国際インプラント学会(認定医)
- 日本口腔インプラント学会
- 日本歯科審美学会
- 日本顕微鏡歯科学会
- 日本顎咬合学会
- Society of Japan Clinical Dentistry
- 東京SJCD会員
- International Society of Osseointegration
- 大阪口腔インプラント研究会
研修実績
- クリニカマロ All-on-4 & Nobel Guide コース(ポルトガル)修了
- インプラント100時間コース修了
- SJCDレギュラーコース修了
- SJCD咬合・歯周補綴コース修了
- SJCDマイクロスコープレギュラーコース修了
- SJCDマイクロスコープエンドコース修了
- SJCDマイクロスコープペリオサージェリーコース修了
- SJCD原宿マスターコース
- 歯周再生療法GBR法、GTR法認定
- アストラテックインプラントベーシックコース修了
- アストラテックインプラントアドバンスコース修了
- ブカレスト大学医学部サイナスリフト実習コース(ルーマニア)修了
- ニューヨーク大学インプラント科CDEコース卒業
1973年生まれ。大阪府出身。工芸家であった祖母譲りの手先の器用さをいかしながら、人との関わりを多く持てる仕事として歯科医師を志す。1999年大阪大学歯学部卒業。当時はまだインプラント治療に対して否定的な意見もあり、より安全な治療法をとの思いで、学生時代から入れ歯の勉強に取り組む。父の歯の治療を通じて、入れ歯では残存している他の歯を守ることができないと感じ、一転インプラント治療の勉強に専念する。アジア、ヨーロッパなどでの海外研修、アメリカ ニューヨーク大学インプラント科での長期コースを終了しインプラント治療を修得。また、海外では一般的になりつつあるが、国内では普及の遅れているマイクロスコープ(治療用顕微鏡)を用いた精密歯科治療を導入し、すべての治療を高い精度で行っている。
-
スマイルプラン さくら歯科クリニック
院長・歯科医師有田 昌慎
-
経歴
2005年 九州歯科大学歯学部卒業 2008年 スマイルプランやまもと歯科クリニック勤務 2012年 スマイルプランさくら歯科クリニック勤務 所属
- 日本顎咬合学会(認定医)
- 臨床研修指導歯科医
- インビザライン認定医
研修実績
- 東京SJCDレギュラーコース修了)
- 東京SJCDマイクロスコープ ベニアコース修了
- 下間矯正セミナーレギュラーコース修了
- 下間矯正セミナーアドバンスコース修了
- ハーバード大学短期留学修了
- アストラテックインプラント認定コース修了
- ブローネマルクインプラント認定コース修了
- ダイレクトボンディングハンズオンセミナー修了
- 歯周組織再生・エムドゲイン認定コース修了
1980年生まれ。大阪府茨木市出身。九州歯科大学歯学部卒業後、京都の歯科医院で3年間勤務。2008年よりスマイルプランやまもと歯科クリ ニックで勤務。 保険診療はもちろんの事、インプラント、審美歯科などの高度な医療技術を必要とする治療をメインで行ない、若くして副院長に。2012年 高槻市のスマイルプランさくら歯科クリニックのオープンと同時に院長に就任。 現在は矯正歯科治療にも力を入れている。 有田院長の繊細な技術は院内・院外の多くの歯科医師から高い評価を得ている。 痛みを怖がる患者様が多い事から、常に心がけている事は無痛治療を行なう事。
-
スマイルプラン オーク歯科
院長・歯科医師井上 倭総
-
経歴
岡山大学卒業 スマイルプラン オーク歯科 院長 所属
- 日本口腔インプラント学会
- 大阪口腔インプラント研究会
研修実績
- jiadsペリオコース修了
- GPOレギュラーコース修了
- 大森塾大阪13期修了
- ClubGP Basic Program修了
- DIO naviインプラント実践コース修了
- 日本臨床歯科学会(東京SJCD)レギュラーコース修了
- 日本口腔インプラント研究会認定講習会修了
-
スマイルプラン歯科クリニック西宮
院長・歯科医師野口 陽平
-
経歴
岡山大学歯学部卒業 スマイルプラン歯科クリニック西宮 院長 所属
- 日本口腔インプラント学会
- 大阪口腔インプラント研究会
- GPO
- KZ会(study group KZ)
研修実績
- DIO naviインプラント実践コース
- アストラテックインプラントシステムEVイントロダクトリーコース
- テルナ・ジャパン ヒアルロン酸注入
- ClubGP Basic Program
- 日本口腔インプラント学会認定講習会
(旧インプラント100時間コース)修了 - GPOレギュラーコース
- 成功するインプラント外科マニュアル
GBR編(野坂泰弘先生) - Myobrace導入セミナー
- Aligner orthodontic seminer (尾島賢治先生)
- SAVE THE TEETH 6ヶ月レギュラーコース
(大月基弘先生) - SBICインプラント年間セミナー(中澤玲先生)
歯科治療は色んな選択肢があり1人で決めるのはとても難しいです。当グループのインプラント治療は一人一人にあった治療プランを提供し、わかりやすい説明としっかりとコミュニケーションをとりながら治療を行っていくことを心がけています。わからないことや不安なことがございましたらお気軽にご相談ください。
-
スマイルプラン ホワイトベア歯科クリニックなんば
院長・歯科医師西野 毅至
-
経歴
九州歯科大学歯学部卒業 スマイルプラン ホワイトベア歯科クリニックなんば 院長 所属
- 東京SJCDマイクロスコープ ベニアコース修了
- DiOnavi.インプラントガイドシステム実践セミナー修了
- ヒアルロン酸注入・ボツリヌス治療セミナー修了
- ビタミンC点滴、脂肪分解注射セミナー修了
こんにちは。
ホワイトベア歯科クリニックなんば院長の西野毅至と申します。
当院では、プライムスキャンやiTeroといった最先端のデジタル機器を導入する事で、患者様により良い上質な治療を提供いたします。
また、患者様一人一人に合った治療計画を立てるので、安心して治療を受けて頂けます。皆様のご来院を心よりお待ちしております。
-
スマイルプラン歯科クリニックOSAKA
院長・歯科医師景山 祐杜
-
経歴
九州大学歯学部 卒業 スマイルプラン歯科クリニックOSAKA 院長 スマイルプラン歯科クリニックOSAKAの院長の景山祐杜です。
当院が掲げる基本的な考えのひとつにEverything for the patient/すべては患者様のためにというものがあります。
私たちのクリニックは患者様第一主義であり、まず患者様のお話を伺うことが治療の第一歩だと考えております。その上で患者様の悩みを理解し寄り添い、改善に向けてしっかり説明を行った上で治療を行うのが当院のコンセプトです。また、歯科に来院される患者様のお口の悩みは痛みや不快感、審美障害など多岐に渡ります。
私たちはその悩みを改善できるよう最新の医療設備や高い治療技術、患者様に寄り添った親しみやすいサービスを惜しみなく提供致します。お口の悩みや不安を抱える患者様は是非お気軽に当院まで足を運んでください。 皆様のご来院を心よりお待ちしております。
- 梅田エリア
- なんばエリア
- 茨木エリア
- 高槻エリア
- 西宮エリア
-
クリニック紹介
06-6347-1888 ▶︎ インプラント無料カウンセリングドクター紹介
-
院長 景山 祐杜
スマイルプラン歯科クリニックOSAKAの院長の景山祐杜です。
歯科に来院される患者様のお口の悩みは痛みや不快感、審美障害など多岐に渡ります。
私たちはその悩みを改善できるよう最新の医療設備や高い治療技術、患者様に寄り添った親しみやすいサービスを惜しみなく提供致します。
お口の悩みや不安を抱える患者様は是非お気軽に当院まで足を運んでください。 皆様のご来院を心よりお待ちしております。経歴
九州大学歯学部 卒業 スマイルプラン歯科クリニック
OSAKA 院長
院内設備紹介
-
-
クリニック紹介
06-6633-2828 ▶︎ インプラント無料カウンセリング〒542-0076 大阪府大阪市中央区難波3-8-9 なんばマルイ2F
ドクター紹介
-
院長 西野 毅至
患者様のお悩みに寄り添うことができる歯科医師でありたいと思っております。
常に最新の知識や技術を身につけることで、患者様にできるだけ多くの選択肢を提供できるように努力していきたいと思っております。経歴
九州歯科大学歯学部 卒業 ホワイトベア歯科クリニックなんば 院長
院内設備紹介
-
-
クリニック紹介
072-625-8222 ▶︎ インプラント無料カウンセリングドクター紹介
-
理事長・院長 山本 恒一
私たちスマイルプラン歯科グループのコンセプトは「すべてにおいて上質な歯科医院であること。」です。
質の高いおもてなしと医療サービス、最高レベルの治療技術を患者様に提供できる歯科医院であるために日々研鑽しています。経歴
1999年 大阪大学歯学部卒業 2004年 スマイルプランやまもと歯科クリニック開院 -
副院長 高倉 駿
経歴
昭和大学歯学部卒業 スマイルプランやまもと歯科クリニック勤務
院内設備紹介
クリニック紹介
072-637-1755 ▶︎ インプラント無料カウンセリングドクター紹介
-
院長 井上 倭総
経歴
岡山大学歯学部卒業 スマイルプランオーク歯科クリニック 院長 -
有田 昌慎
当院では医院の内装や患者様への対応・コミュニケーション、歯科医師の技術という3点に特に力を入れて患者様の診療を受け入れるようにしています。
私達は患者様からお口の健康を任せていただけるように、頼りがいのある歯科医院を目指しています。経歴
九州歯科大学歯学部卒業 スマイルプランさくら歯科クリニック 院長
院内設備紹介
-
-
クリニック紹介
072-686-2200 ▶︎ インプラント無料カウンセリングドクター紹介
-
院長 有田 昌慎
当院では医院の内装や患者様への対応・コミュニケーション、歯科医師の技術という3点に特に力を入れて患者様の診療を受け入れるようにしています。
私達は患者様からお口の健康を任せていただけるように、頼りがいのある歯科医院を目指しています。経歴
九州歯科大学歯学部 卒業 スマイルプランさくら歯科クリニック 院長 スマイルプランオーク歯科クリニック 院長(兼任)
院内設備紹介
-
-
クリニック紹介
0798-34-5566 ▶︎ インプラント無料カウンセリングドクター紹介
-
院長 野口 陽平
経歴
岡山大学歯学部卒業 スマイルプラン歯科クリニック西宮勤務 研修実績
DIO naviインプラント実践コース アストラテックインプラントシステムEVイントロダクトリーコース テルナ・ジャパン ヒアルロン酸注入 ClubGP Basic Program 日本口腔インプラント学会認定講習会
(旧インプラント100時間コース)修了GPOレギュラーコース 成功するインプラント外科マニュアル
GBR編(野坂泰弘先生)Myobrace導入セミナー Aligner orthodontic seminer (尾島賢治先生) SAVE THE TEETH 6ヶ月レギュラーコース
(大月基弘先生)SBICインプラント年間セミナー(中澤玲先生) -
副院長 秋山 咲季
同じ目線で患者様にとって必要で最適な治療は何なのかをしっかりと把握し、丁寧な治療をご提供いたします。
気になることがあれば些細なことでもご相談ください。経歴
岡山大学歯学部卒業 スマイルプラン歯科クリニック西宮 副院長
院内設備紹介
-





